Epizyme Mesothelioma, Nivo Lution In Mesothelioma Clinical Cancer Research

Epizyme Mesothelioma, Epizyme Slides On Worse Than Expected Early Phii Data In Nhl Fiercebiotech

Epizyme mesothelioma Indeed recently has been hunted by consumers around us, maybe one of you personally. People are now accustomed to using the net in gadgets to view image and video information for inspiration, and according to the title of this article I will talk about about Epizyme Mesothelioma.

  • Epizyme Inc Investing Ideas Market Estimates Share Price Company News Stock Analysis Investingnote Com
  • Http Www Jefferies Com Cmsfiles Jefferies Com Files Epizyme 3 Pdf
  • Epizyme To File Nda For Tazemetostat In Follicular Lymphoma Nasdaq
  • Mesothelioma Scientific Clues For Prevention Diagnosis And Therapy Carbone 2019 Ca A Cancer Journal For Clinicians Wiley Online Library
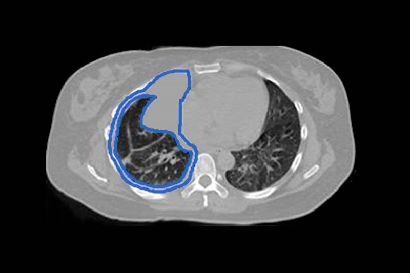
  • News Mesothelioma Research Programme Leicester
  • Epizyme Company Profile Stock Performance Earnings Pitchbook

Find, Read, And Discover Epizyme Mesothelioma, Such Us:

  • Can These Breakthrough Therapeutics Win The Fight Against Mesothelioma Avise Analytics
  • Initiating Epizyme As A Watch Item Stock Nasdaq Epzm Seeking Alpha
  • Current List Of Bap1 Loss And Nf2 Mutant Biomarker Driven Clinical Download Scientific Diagram
  • News Mesothelioma Research Programme Leicester
  • Sec Filing Epizyme Inc

If you re searching for Xmas Pictures To Colour you've arrived at the right location. We ve got 101 graphics about xmas pictures to colour adding pictures, pictures, photos, wallpapers, and more. In these web page, we also have variety of graphics out there. Such as png, jpg, animated gifs, pic art, logo, blackandwhite, transparent, etc.

Molecular Characterization Of Localized Pleural Mesothelioma Modern Pathology Xmas Pictures To Colour

Potential Mesothelioma Drug Moves One Step Closer To The Market Xmas Pictures To Colour

Epizyme Epzm Shares Soar On Lead Candidate S Progress Xmas Pictures To Colour

Pdf Current And Future Management Of Malignant Mesothelioma A Consensus Report From The National Cancer Institute Thoracic Malignancy Steering Committee International Association For The Study Of Lung Cancer And Mesothelioma Applied Xmas Pictures To Colour

Pathologic Considerations And Standardization In Mesothelioma Clinical Trials Journal Of Thoracic Oncology Xmas Pictures To Colour

Epizyme Non Hodgkin Lymphoma Drug Clears Futility Hurdle Xmas Pictures To Colour

Standard of care treatment for mesothelioma typically involves a combination of chemotherapy surgery and radiation but the effectiveness has been limited.

Xmas pictures to colour. Cambridge ma usa i august 11 2016 i epizyme inc. Tazemotostat a first in class small molecule oral ezh2 inhibitor is now being evaluated in a global phase 2 study nct02860286 for the treatment of adults with mesothelioma. We are currently conducting a comprehensive development program for tazemetostat designed to identify efficient and accelerated pathways to treat as many patients.

Epzm a fully integrated commercial stage biopharmaceutical company developing novel epigenetic therapies today announced that multiple abstracts have been accepted for poster presentations during the 2020 american society of clinical oncology asco virtual scientific program being held may 29 31 2020. A possible new drug for mesothelioma has received fda approval for the treatment of advanced epithelioid sarcoma. Epzm free report announced that it has dosed the first patient in a phase ii study on tazemetostat for the treatment of adults with mesothelioma characterized by bap1 loss of.

Our pipeline is led by tazemetostat an internally developed orally administered first in class small molecule ezh2 inhibitor for the treatment of multiple types of hematological malignancies and genetically defined solid tumors. C 2020 epizyme inc. A clinical stage biopharmaceutical company creating novel epigenetic therapies today announced that the first patient has been dosed in the companys global phase 2 study evaluating tazemetostat a first in class ezh2 inhibitor for the treatment of adults with mesothelioma characterized by bap1 loss of function.

Several types of clinical trials exist but preclinical findings have showed mesothelioma cancer especially mesothelioma characterized by bap1 loss of function might be sensitive to ezh2 inhibitors. Tazemetostat is a first in class ezh2 inhibitor. Epizyme inc which produces the tazemetostat is a clinical stage biopharmaceutical company promoting the drug as a second line therapy for different cancers.

It is a brand new kind of drug that blocks a protein called ezh2. Epizyme has reported recent updates from its clinical stage programs with the companys lead candidate tazemotostat for the treatment of hematological malignancies and genetically defined solid tumors. All rights reserved.

Cambridge mass business wire may 13 2020 epizyme inc.

Epizyme To Present Clinical Data On Nhl Treatment At Ash Lymphoma Conference Lymphoma News Today Xmas Pictures To Colour

Epizyme Reports Third Quarter 2017 Operating Results And Company Updates Xmas Pictures To Colour

Tazemetostat Shows Promise For Pleural Mesothelioma Xmas Pictures To Colour

Integrative Molecular Characterization Of Malignant Pleural Mesothelioma Cancer Discovery Xmas Pictures To Colour

More From Xmas Pictures To Colour


Incoming Search Terms:

  • Potential Mesothelioma Drug Moves One Step Closer To The Market Simpsons Coloring Pages For Adults,
  • Tazemetostat Shows Promise For Pleural Mesothelioma Simpsons Coloring Pages For Adults,
  • Epizyme S Tazverik Receives Accelerated Approval From Fda Simpsons Coloring Pages For Adults,
  • Routine Surveillance For Diagnosis Of Venous Thromboembolism After Pleurectomy For Malignant Pleural Mesothelioma The Journal Of Thoracic And Cardiovascular Surgery Simpsons Coloring Pages For Adults,
  • Boehringer Ingelheim And Epizyme Ink Collaboration Deal With 15 Million Up Front And 280 Million In Biobucks Biospace Simpsons Coloring Pages For Adults,
  • Epizyme Inc Nasdaq Epzm Expected To Announce Quarterly Sales Of 7 97 Million Marketbeat Simpsons Coloring Pages For Adults,