Mesothelioma Synonyms, Calretinin Pathology Resident Wiki Fandom

Mesothelioma Synonyms, Depinisyon Ng Mesothelioma Kahulugan Ng Mesothelioma

Mesothelioma synonyms Indeed lately has been hunted by consumers around us, maybe one of you. People are now accustomed to using the net in gadgets to view video and image information for inspiration, and according to the title of the article I will discuss about Mesothelioma Synonyms.

  • Mesotheliomas Synonyms And Definition Epidemiology Etiology Pathogenesis Cyto Histopathological Features Clinic Diagnosis Treatment Prognosis Intechopen
  • Top 6 Questions About Chemotherapy For Mesothelioma
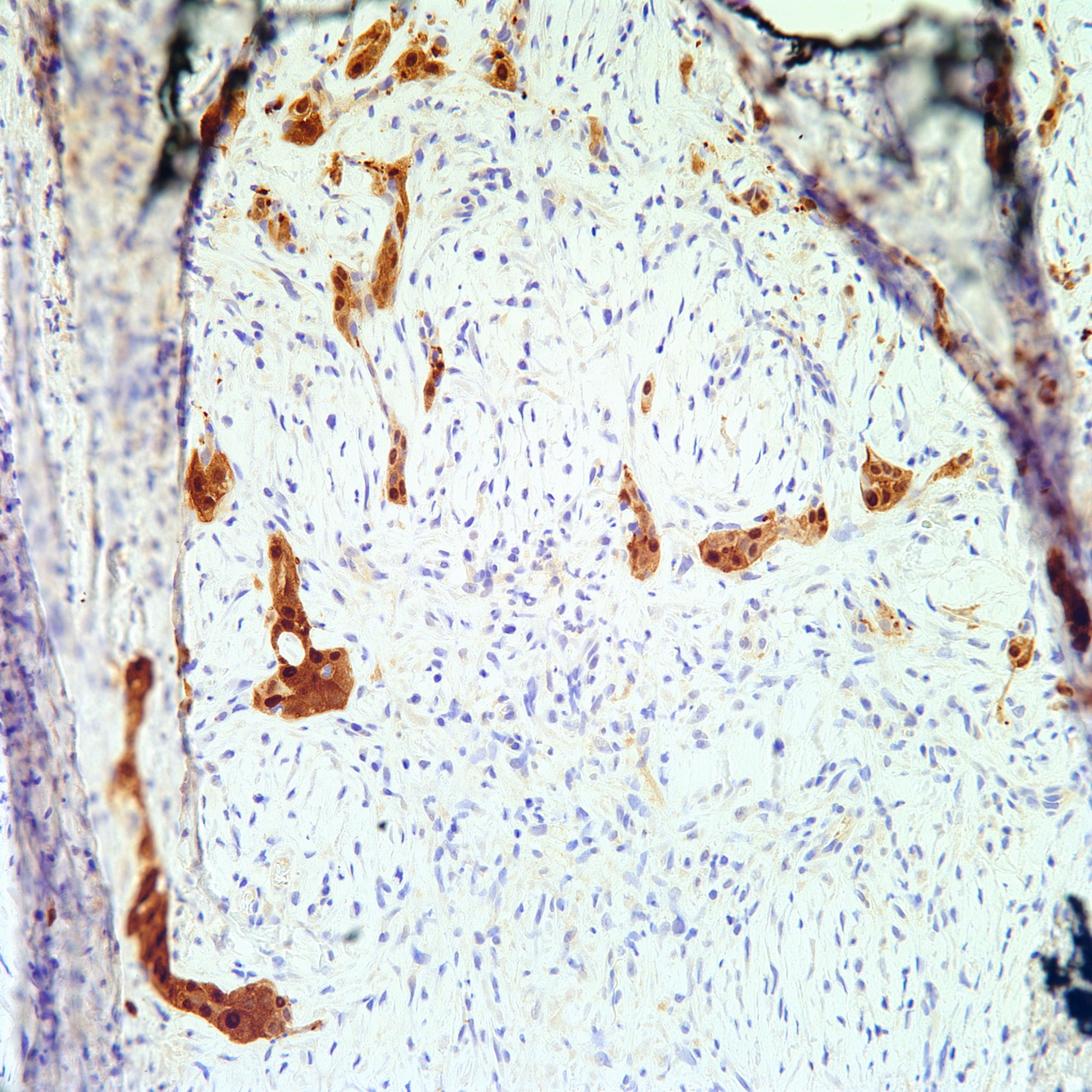
  • Molecular Characterization Of Localized Pleural Mesothelioma Modern Pathology
  • Pdf Benign Mesothelioma Of The Appendix An Incidental Finding In A Case Of Sigmoid Diverticular Disease
  • Malignant Mesothelioma Molecular Markers Springerlink
  • Ijerph Free Full Text Estimation Of Occupational Exposure To Asbestos In Italy By The Linkage Of Mesothelioma Registry Renam And National Insurance Archives Methodology And Results Html

Find, Read, And Discover Mesothelioma Synonyms, Such Us:

  • Pemetrexed Maintenance Therapy In Patients With Malignant Pleural Mesothelioma Journal Of Thoracic Oncology
  • 2
  • Synonyms For Mesosalpinx Thesaurus Net
  • Asbestos Exposure By State Learn About Asbestos Exposure Near You
  • Asbestos Exposure Mesothelioma Resource Online

If you are looking for Family Court Attorney you've come to the perfect location. We have 100 images about family court attorney including pictures, pictures, photos, backgrounds, and more. In these page, we also have variety of graphics available. Such as png, jpg, animated gifs, pic art, symbol, black and white, transparent, etc.

A F Malignant Pleural Mesothelioma Sarcomatoid Subtype Pd L1 Download Scientific Diagram Family Court Attorney

Second Generation Sequencing Of The Mesothelioma Tumor Genome Family Court Attorney

Cancers Free Full Text Mutational Profile Of Malignant Pleural Mesothelioma Mpm In The Phase Ii Rames Study Html Family Court Attorney

Molecular Characterization Of Localized Pleural Mesothelioma Modern Pathology Family Court Attorney

Malignant And Borderline Mesothelial Tumors Of The Pleura Thoracic Key Family Court Attorney

Mesothelial Cell Antibody Hbme 1 Bio Sb Family Court Attorney

Usually associated with exposure to asbestos dust synonyms.

Family court attorney. 1 word related to mesothelioma. Synonyms for mesothelioma in free thesaurus. 1the most common anatomical site for the development of mesothelioma is the pleura the outer lining of the lungs and.

1 word related to mesothelioma. What are synonyms for malignant mesothelioma. What are synonyms for mesothelioma.

Synonyms for malignant mesothelioma in free thesaurus. What is mesothelioma noun. Antonyms for malignant mesothelioma.

Mesothelioma noun meaning pronunciation and more by macmillan dictionary. Mesothelioma or more precisely malignant mesothelioma is a rare form of cancer that develops from transformed cells originating in the mesothelium the protective lining that covers many of the internal organs of the bodyit is usually caused by exposure to asbestos. In recent years there has been a significant increase of mesothelioma.

Define mesothelioma noun and get synonyms.

Calretinin Pathology Resident Wiki Fandom Family Court Attorney

Malignant And Borderline Mesothelial Tumors Of The Pleura Sciencedirect Family Court Attorney

Top 6 Questions About Chemotherapy For Mesothelioma Family Court Attorney

Depinisyon Ng Mesothelioma Kahulugan Ng Mesothelioma Family Court Attorney

More From Family Court Attorney


Incoming Search Terms:

  • Clinical Evaluation Of Circulating Mir 548a 3p And 20a Expression In Malignant Pleural Mesothelioma Patients Biomarkers In Medicine Types Of Lawyers And Salaries In India,
  • Pdf Absence Of Germline Mutations In Bap1 In Sporadic Cases Of Malignant Mesothelioma Richard Allcock And Phillip Melton Academia Edu Types Of Lawyers And Salaries In India,
  • Cancers Free Full Text Well Differentiated Papillary Mesothelioma Of The Peritoneum Is Genetically Distinct From Malignant Mesothelioma Html Types Of Lawyers And Salaries In India,
  • Pdf Sclerosing Peritoneal Mesothelioma In A Dog Histopathological Histochemical And Immunohistochemical Investigations Types Of Lawyers And Salaries In India,
  • Pdf Pleural Fibroma A Meandering Path To Surgical Removal Types Of Lawyers And Salaries In India,
  • Bap1 Haploinsufficiency Predicts A Distinct Immunogenic Class Of Malignant Peritoneal Mesothelioma Genome Medicine Full Text Types Of Lawyers And Salaries In India,